Benefits of Dental Cleanings explained by Orthodontist in Bandra

Deep Cleaning Teeth Before And After. Teeth Deep Cleaning Before And After A dental deep teeth cleaning, unlike a regular cleaning, dives deeper to remove plaque, tartar, and harmful bacteria lurking beneath the gum line Regular dental cleanings help maintain a healthy smile, but when plaque and tartar build up beneath the gum line, a deep cleaning may be necessary

Hygienist Cleadon Village Dental PracticeCleadon Village Dental Practice
Hygienist Cleadon Village Dental PracticeCleadon Village Dental Practice from cleadondental.co.uk

Deep cleaning teeth is done as a scaling & root planing, a non-surgical dental procedure to clear tooth roots of plaque below the gum line If you're wondering about deep cleaning teeth before and after results, this guide will walk you through the process, benefits, and what to expect.

Hygienist Cleadon Village Dental PracticeCleadon Village Dental Practice

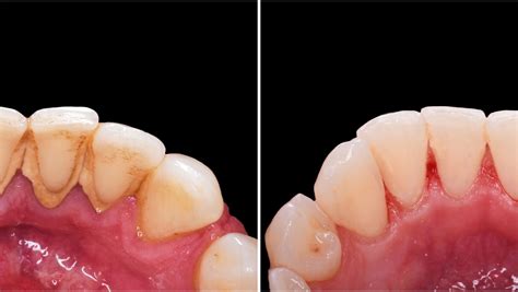
After the procedure, patients typically notice: Healthier gums: Gums become firmer and pinker, with reduced inflammation and bleeding. If you're wondering about deep cleaning teeth before and after results, this guide will walk you through the process, benefits, and what to expect. Before deep cleaning, patients often suffer from red, swollen gums, bad breath, and loose teeth

Deep Teeth Cleaning Before and After Dental Health Society. Before and After Results The transformation in gum health deep cleaning teeth before and after can be remarkable While routine cleanings are vital for most people, some individuals may require a more intensive procedure known as deep cleaning

The Benefits of a Deep Cleaning Treatment For Your Teeth and Gums When You Haven’t Been. Before and after photos show the difference this procedure can make. Before deep cleaning, patients often suffer from red, swollen gums, bad breath, and loose teeth